| APNEE DU SOMMEIL |
| |
|
|
L’apnée du sommeil est une maladie bien souvent méconnue
et insidieusement invalidante. |
| |
| Un bilan est réalisé au CIMNCG,
en accord avec les pneumologues et médecins ORL |
| |
| Un cliché Télécrane de profil qui permet |
| d’analyser des angles de la mâchoire |
| d’analyser des tissus mous, leur volume et leur retentissement
sur la clarté naos-pharyngée ( conduit de passage de l’air). |
| |
 |
Un
bilan des Sinus de la face qui permet |
| d’apprécier l’état
des sinus : transparent ou foyer infectieux |
| d’apprécier l’état de la cloison
nasale |
| d’apprécier l’épaisseur de
la muqueuse des cornets |
| |
| |
| |
|
 |
Un
cliché Panoramique Dentaire qui permet |
| d’apprécier la position et l’état des dents |
| d’apprécier la structure osseuse |
| d’apprécier l’état des articulations de la mâchoire |
| |
|
 |
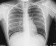
une radiographie du Thorax qui permet |
| d’apprécier l’état des poumons |
| d’apprécier la taille du cœur et du médiastin |
| |
| |
| |
| |
|
| |
Ne pas oublier de ramener
l’ordonnance et les résultats
précédents. |