| LES EXAMENS RADIOLOGIQUES |
| |
|
 |
Sont réalisés à base de rayon x obtenu par l’impulsion électrique d’une
anode tournante. |
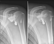
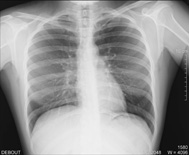
| La radiographie standard est à la base de
beaucoup d’explorations de pathologies du corps humain. |
Par exemple, la radiographie |
|
du rachis lombaire en cas de lombalgies |
| des poumons en cas de toux
|
| des hanches, des genoux et des pieds en cas de douleurs. |
| |
de l’abdomen en cas de calcul ou de douleurs. |
 |
|
La
radiographie est devenue peu irradiante du fait du matériel, des
matériaux, des conditions d’utilisation, de
la formation du personnel et des médecins. |
|
| Des précautions
de protection doivent être prises chez les enfants. |
| |
| |
La radiographie ne
doit pas être réalisée chez une femme enceinte
en particulier en début de grossesse. Mais si elle devait l’être
du fait d’une nécessité absolue, le risque
est quasi-nul si l’utérus n’est pas compris dans la
zone d’irradiation. |
 |
|
| Pour certains examens,
l’urographie intra-veineuse par exemple, une injection est pratiquée. Il
faut être à jeun de quatre heures et signaler une allergie
connue. Dans ce cas , une prémédication est associée. |
| En règle générale,
les nouveaux produits sont très bien tolérés. |
| |
| Ne pas oublier de ramener l’ordonnance et les résultats
précédents. |